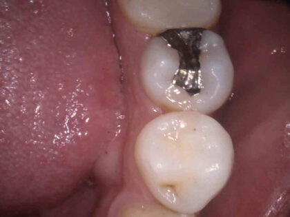
| 術前 | 術中 | 術中 | 術後 |
|---|---|---|---|
![]() |
![]() |
![]() |
![]() |
| 項目 | 詳細 |
|---|---|
| 来院時の主訴 | 歯を白くしたい。 |
| 医院での治療 |
金属除去後にジルコニアをセットしました。 |
| 治療で来院した期間 | 1週間 |
| 治療完了までに来院した回数 | 2回 |
| リスクと副作用 | 強い噛み合わせで割れてしまう可能性があります。 |
| 費用の総額 |
ジルコニアインレー:¥60,500(税込)×2本 |
| 術前 | 術中 | 術中 | 術後 |
|---|---|---|---|
![]() |
![]() |
![]() |
![]() |
| 項目 | 詳細 |
|---|---|
| 来院時の主訴 | 歯を白くしたい。 |
| 医院での治療 |
金属除去後にジルコニアをセットしました。 |
| 治療で来院した期間 | 1週間 |
| 治療完了までに来院した回数 | 2回 |
| リスクと副作用 | 強い噛み合わせで割れてしまう可能性があります。 |
| 費用の総額 |
ジルコニアインレー:¥60,500(税込)×2本 |
| 術前 | 術中 | 術中 | 術後 |
|---|---|---|---|
![]() |
![]() |
![]() |
![]() |
| 項目 | 詳細 |
|---|---|
| 来院時の主訴 | 歯を白くしたい。 |
| 医院での治療 |
金属除去後にジルコニアをセットしました。 |
| 治療で来院した期間 | 1週間 |
| 治療完了までに来院した回数 | 2回 |
| リスクと副作用 | 強い噛み合わせで割れてしまう可能性があります。 |
| 費用の総額 |
ジルコニアインレー:¥60,500(税込) |
| 術前 | 術中 | 術中 | 術後 |
|---|---|---|---|
![]() |
![]() |
![]() |
![]() |
| 項目 | 詳細 |
|---|---|
| 来院時の主訴 | 歯を白くしたい。 |
| 医院での治療 |
金属除去後にジルコニアをセットしました。 |
| 治療で来院した期間 | 1週間 |
| 治療完了までに来院した回数 | 2回 |
| リスクと副作用 | 強い噛み合わせで割れてしまう可能性があります。 |
| 費用の総額 |
ジルコニアクラウン:¥69,900(税込) |
| 術後 | 術後 |
|---|---|
![]() |
![]() |
| 項目 | 詳細 |
|---|---|
| 来院時の主訴 |
歯がグラグラする |
| 医院での治療 |
ジルコニアクラウン①ブリッジ |
| 詰め物・被せ物の治療本数 |
8本 |
| 治療で来院した期間 | 1ヶ月 |
| 治療完了までに来院した回数 | 6回 |
| リスクと副作用 | 神経を取る必要がある場合があり |
| 費用の総額 |
¥880,000円 |
| 術後 |
|---|
![]() |
| 項目 | 詳細 |
|---|---|
| 来院時の主訴 | 前歯を綺麗な歯にしたい |
| 医院での治療 |
ジルコニアクラウン① |
| 詰め物・被せ物の治療本数 |
6本 |
| 治療で来院した期間 | 2週間 |
| 治療完了までに来院した回数 | 2回 |
| リスクと副作用 | 神経処置になる場合がある。 |
| 費用の総額 |
¥660,000円 |
| 術後 | 術後 |
|---|---|
![]() |
![]() |
| 項目 | 詳細 |
|---|---|
| 来院時の主訴 | 被せものがとれた |
| 医院での治療 | 保険ブリッジ4本、自費硬質レジン2本 |
| 治療で来院した期間 | 1か月 |
| 治療完了までに来院した回数 | 2回 |
| リスクと副作用 | 対応出来ない症例もあります。 |
| 費用の総額 |
左上①②③④⑤⑥保険料金4本26,840円+自費2本110,000円=136,800円 |
| 術後 |
|---|
![]() |
| 項目 | 詳細 |
|---|---|
| 来院時の主訴 | 前歯を綺麗にしたい |
| 医院での治療 | ジルコニアクラウン① |
| 詰め物・被せ物の治療本数 | 2本 |
| 治療で来院した期間 | 3週間 |
| 治療完了までに来院した回数 | 2回 |
| リスクと副作用 | 両隣の歯を削る必要がある 神経を取る必要がある場合がある |
| 費用の総額 | ¥220,000 |
| 術後 |
|---|
![]() |
| 項目 | 詳細 |
|---|---|
| 来院時の主訴 | 虫歯が割れて噛めない |
| 医院での治療 | ジルコニアクラウン③ブリッジ |
| 詰め物・被せ物の治療本数 | 3本 |
| 治療で来院した期間 | 1ヶ月 |
| 治療完了までに来院した回数 | 2回 |
| リスクと副作用 | 両隣の歯を削る必要がある 神経を取る必要がある場合がある |
| 費用の総額 | ¥69,900×3本 |
| 術中 | 術後 | 術後 |
|---|---|---|
![]() |
![]() |
![]() |
| 項目 | 詳細 |
|---|---|
| 来院時の主訴 | 歯がグラグラする |
| 医院での治療 | ジルコニアクラウン③ブリッジ |
| 詰め物・被せ物の治療本数 | 10本 |
| 治療で来院した期間 | 3週間 |
| 治療完了までに来院した回数 | 3回 |
| リスクと副作用 | ・両隣の歯を削る必要がある。 ・神経を取る必要がある場合がある |
| 費用の総額 |
¥759,000 |
| 術後 |
|---|
![]() |
| 項目 | 詳細 |
|---|---|
| 来院時の主訴 | 虫歯で痛みがあり、噛めない。 |
| 医院での治療 | ジルコニアクラウン③ブリッジ |
| 詰め物・被せ物の治療本数 | 6本 |
| 治療で来院した期間 | 1ヶ月 |
| 治療完了までに来院した回数 | 4回 |
| リスクと副作用 | 両隣の歯を削る必要がある |
| 費用の総額 | ¥440,000 |
| 術前 | 術後 |
|---|---|
![]() |
![]() |
| 項目 | 詳細 |
|---|---|
| 来院時の主訴 | 歯を白くしたい。 |
| 医院での治療 |
ジルコニアインレー |
| 治療で来院した期間 | 1週間 |
| 治療完了までに来院した回数 | 2回 |
| リスクと副作用 | 適応出来ない症例もあります。 |
| 費用の総額 |
ジルコニアインレー:¥60,500 |
| 術前 | 術中 | 術中 | 術後 |
|---|---|---|---|
|
|
![]() |
![]() |
![]() |
| 項目 | 詳細 |
|---|---|
| 来院時の主訴 | 歯を白くしたい。 |
| 医院での治療 |
金属除去後にジルコニアをセットしました。 |
| 治療で来院した期間 | 1週間 |
| 治療完了までに来院した回数 | 2回 |
| リスクと副作用 | 強い噛み合わせで割れてしまう可能性があります。 |
| 費用の総額 |
ジルコニア:¥60,500(税込) |
| 術前 | 術後 |
|---|---|
![]() |
![]() |
| 項目 | 詳細 |
|---|---|
| 来院時の主訴 | 歯を白くしたい。 |
| 医院での治療 |
虫歯除去後にジルコニアをセットしました。 |
| 治療で来院した期間 | 1週間 |
| 治療完了までに来院した回数 | 2回 |
| リスクと副作用 | 適応出来ない症例もあります。 |
| 費用の総額 |
¥60,500 |
| 術前 | 術前 | 術中 | 術後 |
|---|---|---|---|
![]() |
![]() |
![]() |
![]() |
| 項目 | 詳細 |
|---|---|
| 来院時の主訴 | 歯がグラグラする |
| 医院での治療 |
抜歯後、ブリッジをセットしました。 |
| 治療で来院した期間 | 3週間 |
| 治療完了までに来院した回数 | 3回 |
| リスクと副作用 | ・両隣の歯を削る必要がある。 ・神経を取る必要がある場合がある |
| 費用の総額 |
左上1,2,3ブリッジジルコニア:¥93,500×3本 |
| 術前 | 術後 |
|---|---|
![]() |
![]() |
| 項目 | 詳細 |
|---|---|
| 来院時の主訴 | 白く綺麗な歯にしたい |
| 医院での治療 | ジルコニアクラウン |
| 治療で来院した期間 | 1週間 |
| 治療完了までに来院した回数 | 2回 |
| リスクと副作用 | 適応できない症例もあります |
| 費用の総額 |
¥280,000 |
| 上顎 | 下顎 |
|---|---|
![]() |
![]() |
| 項目 | 詳細 |
|---|---|
| 来院時の主訴 | 白く綺麗な歯にしたい |
| 医院での治療 |
ジルコニアクラウン |
| 詰め物・被せ物の治療本数 | 24本 |
| 治療で来院した期間 | 3ヶ月 |
| 治療完了までに来院した回数 | 12回 |
| リスクと副作用 | 適応できない症例もあります |
| 費用の総額 |
¥1,580,000 |
| 術前 | 術中 | 術後 |
|---|---|---|
![]() |
![]() |
![]() |
| 項目 | 詳細 |
|---|---|
| 来院時の主訴 | 虫歯で痛みがありご来院 |
| 医院での治療 | MTA、ダイレクトボンディング |
| 治療で来院した期間 | 1回のご来院(3分) |
| 治療完了までに来院した回数 | 1回のご来院(3分) |
| リスクと副作用 | ・両隣の歯を削る必要がある。 ・神経を取る必要がある場合がある |
| 費用の総額 |
MTA:¥16,500(税込) |